

in Seattle, Bellingham, and Bellevue, WA

Revitalize your appearance with the highest quality laser skin resurfacing treatment. Feel and see the remarkable results of non-invasive laser therapy designed to dramatically improve skin texture and pigmentation. The combined power of a dual, ablative, and non-ablative laser can achieve significant laser skin resurfacing results without the downtime and side effects of traditional surgery. The skilled Kucumber staff can help you dramatically refine the look of your skin. Address these skin conditions:
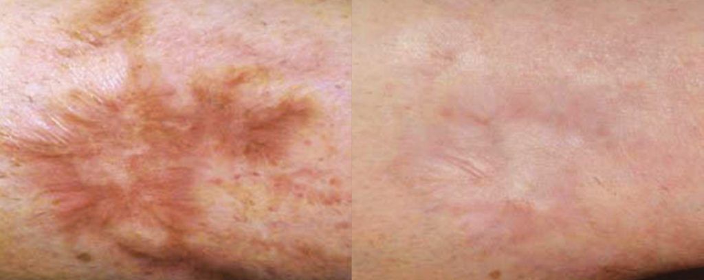
1 of 9

Our high-performance lasers deliver an array of high-precision microbeams of light. These microbeams create narrow, deep columns of tissue coagulation that penetrate well below your epidermis and into the dermis while sparing the tissue surrounding the columns from damage. The treated tissue within the columns initiates a natural healing process and accelerates the formation of new, healthy skin tissue where you most want to see it — on your face, neck, décolleté, abdomen, and arms.
Our Seattle laser skin resurfacing combines the substantial skin-resurfacing capabilities of an ablative laser with the minimal downtime of a non-ablative laser. Fractional lasers are considered today’s leading treatment for laser skin resurfacing, based on their powerful clinical efficacy, varied applications and functionality, and minimal side effects. Your skin benefits from quick healing in the surrounding deep tissue — for the most effective deep corrections and long-term dermal remodeling you can achieve.
Laser Skin Resurfacing is a non-invasive cosmetic treatment designed to improve skin texture, tone, and overall appearance by targeting imperfections like fine lines, wrinkles, scars, and sun damage. The procedure uses laser technology to remove damaged skin cells layer by layer, stimulating natural collagen production and encouraging new, healthy skin growth. This process helps rejuvenate the skin, creating a smoother and more youthful look. The treatment is customizable, meaning it can be tailored to meet the specific needs of each patient, whether it's for minor blemishes or more noticeable skin concerns.
Laser Skin Resurfacing is an incredibly versatile treatment that can address a broad spectrum of aesthetic concerns, helping you feel more confident and at ease in your own skin. Laser Skin Resurfacing offers effective solutions for many common skin challenges, including:
Whether you're dealing with early signs of aging or skin concerns caused by environmental damage, this treatment offers a targeted solution for smoother, clearer skin.


While laser skin resurfacing is best known for its transformative effects on the face, it can also help enhance other areas of the body. By addressing signs of aging, uneven skin tone, and sun damage, this versatile treatment helps you look and feel your best from head to toe. Areas that can benefit from laser treatment include:
Each of these areas can experience noticeable improvements, leaving you with smoother, clearer skin that restores a sense of self-assurance and nurtures your overall well-being.
Laser skin resurfacing offers a powerful, non-invasive way to enhance your skin's appearance without surgery. By targeting visible imperfections like fine lines, scars, and sun damage, this treatment not only rejuvenates the skin. Many patients experience an empowering transformation that goes beyond physical beauty, increasing self-assurance. Here's what you can expect:
Ideal candidates for laser skin resurfacing are individuals with mild to moderate skin imperfections, such as fine lines, wrinkles, uneven texture, or scars.
Most skin types can safely undergo treatment, though patients with active acne or severe skin conditions may need to delay treatment until these issues are under control. Those with darker skin tones can still benefit from fractional lasers which are safe and effective across all skin types. Contraindications include pregnancy, breastfeeding, or recent use of isotretinoin (Accutane), as well as any underlying health conditions that affect wound healing.


During your consultation for laser skin resurfacing Seattle, Bellevue, and Bellingham skin care experts, at Kucumber Skin Lounge will assess your skin's condition and discuss your aesthetic goals.
We'll also review your medical history to ensure you're a good candidate for the procedure. In preparation for treatment, you may need to avoid certain medications, discontinue retinoid creams, and protect your skin from excessive sun exposure. Your provider will give you a clear list of pre-treatment guidelines to follow for the best results.
The procedure typically lasts between 30 minutes to an hour, depending on the size of the treatment area.
A topical numbing agent is applied to ensure your comfort throughout the session. The laser is then passed over the skin, creating micro-channels to stimulate collagen production and skin renewal. Patients often describe the sensation as a mild prickling or warmth. The process is quick, and most patients are able to resume their normal activities the next day.
Results from laser skin resurfacing typically begin to reveal themselves within just a few days as your skin starts its natural healing and rejuvenation process.
As the skin regenerates, you'll notice smoother, more radiant skin that helps enhance your authentic beauty. By two weeks, the full effects become more visible, with skin looking noticeably brighter, firmer, and more youthful. Over the following months, improvements continue as collagen production steadily increases, providing long-lasting results. Fine lines and wrinkles fade, texture becomes more refined, and uneven pigmentation diminishes, allowing you to feel refreshed and self-assured in your appearance.

Recovery from laser skin resurfacing typically involves mild redness, swelling, and flaking, which can last for a few days.
To avoid complications, it's essential to keep the skin hydrated and protected from the sun. Your provider will give you specific aftercare instructions, including recommendations for skincare products and sun protection. Most patients can return to their regular routine within three to seven days, with no need for extensive downtime.
The side effects of fractional laser skin resurfacing that you will experience are likely to be minimal, including lingering warmth, tightness, and redness which fades after a few hours. Your skin will feel tighter and look smoother within several weeks — the time it takes for new collagen and elastin to transform your skin. Generally, you can receive treatment and go back to work or to other activities without any recovery time. A series of treatments at 4-6 weeks intervals is recommended to maintain your skin’s results and keep achieving your beauty goals.
By accelerating the formation of new, healthy tissue, the laser treatment delivers remarkable skin resurfacing results. With the Kucumber team’s commitment to and passion for advanced beauty treatments, your skin can thrive.

At Kucumber Skin Lounge, we pride ourselves on offering state-of-the-art treatments combined with a personalized, patient-centered approach. Our team of experienced providers is dedicated to achieving the best results while ensuring your comfort and safety. We are recognized for our advanced technology and our commitment to delivering beautiful, natural-looking outcomes. With numerous positive reviews and a strong reputation in the community, Kucumber Skin Lounge is your trusted choice for skin rejuvenation.
Most patients report minimal discomfort during the procedure, thanks to the use of a topical numbing agent. Post-treatment sensations are often compared to a mild sunburn.
Yes, fractional lasers are safe and effective for all skin types, including darker skin tones.
No, we recommend that patients avoid laser skin resurfacing during pregnancy or breastfeeding for safety reasons.
Yes, many patients choose to combine laser skin resurfacing with treatments like injectables or chemical peels for enhanced results. Consult with your provider to find the best combination for your goals.
REFERENCES:
“Skin Revitalization.” Corporate Product Information. Cynosure – A Hologic Company. Accessed September 7, 2017. https://www.cynosure.com/treatments/fine-lines-and-wrinkles/.
Preissig, Jason, Kristy Hamilton, and Ramsey Markus. “Current Laser Resurfacing Technologies: A Review That Delves Beneath the Surface.” Seminars in Plastic Surgery 26, no. 3 (August 2012): 109–16. doi:10.1055/s-0032-1329413.
Tanzi, Elizabeth L., Rungsima Wanitphakdeedecha, and Tina S. Alster. “Fraxel Laser Indications and Long-Term Follow-Up.” Aesthetic Surgery Journal 28, no. 6 (December 2008): 675-678; discussion 679-680. doi:10.1016/j.asj.2008.09.006